四年无瘤,GC101 TIL助力晚期癌症患者回归健康

子宫内膜癌作为继宫颈癌之后第二种常见的妇科恶性肿瘤,近20年来发病率呈持续上升和年轻化趋势。子宫内膜癌占妇科恶性肿瘤的20%~30%,其发病率在部分发达城市已高居妇科恶性肿瘤首位。对于复发或转移性的晚期恶性子宫内膜癌患者来说,治疗选择十分有限,且治疗效果一般,五年总生存率(OS)不到20%。
令人欣喜的是,一位曾被确诊为IV期子宫内膜癌的患者L女士,继接受君赛生物GC101 TIL单次回输治疗后2个月,肿瘤病灶即完全消失,获得CR(完全缓解)疗效,至今已无瘤生存超4年,摆脱需长期服药和频繁辗转于各大医院带来的生理和心理上的煎熬,回归正常生活和工作的健康状态。
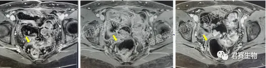
2021年3月,L女士体检时发现卵巢占位及淋巴结肿大,肿瘤标志物CA125与CA199均超200U/mL,影像学提示子宫内膜癌伴淋巴转移倾向。随后L女士辗转于上海各大医院,在复旦大学附属肿瘤医院行手术切除术中,发现肿瘤已扩散至大网膜与盆腔,存在种植性转移。
术后,L女士先后尝试了多次化疗,肿瘤标志物未下降反而持续升高,属于对常规化疗完全不敏感的“铂难治型”癌症。此类患者预后极差,生存期短,常规治疗手段已无意义。在接受K药联合仑伐替尼的“可乐疗法”治疗后,仍无法有效控制病情。
幸运的是,L女士经朋友介绍得知,君赛生物正在上海市第十人民医院开展GC101 TIL治疗复发/晚期妇科肿瘤的临床试验。在程忠平教授及十院妇科医护团队的密切配合下,L女士于2021年8月顺利接受了TIL细胞回输。出院后每次定期随访结果均显示肿瘤标志物持续降低,肿瘤持续缩小,治疗后两个多月各项检查指标便恢复正常水平。

至今已过去四年,L女士早已回归正常生活,与常人无异。回想起整个治疗过程,L女士至今仍清晰记得回输当晚睡眠极佳,次日醒来感觉全身轻松、清醒有力。疾病是一次重新认识生命的机会,四年,不是抗癌历程的停顿点,而是迈向新生活的开始。
关于君赛生物
君赛生物专注于TIL疗法开发,自主建立国际领先的DeepTIL®细胞富集扩增与NovaGMP®基因修饰技术平台,据此开发一系列全球领先的TIL创新疗法,其中2款已进入临床试验阶段,正面向社会招募晚期实体肿瘤患者。
处于关键II期临床的全球首款无需清淋、无需IL-2注射的天然TIL疗法GC101,以及处于临床I期的全球首创的非病毒载体基因修饰TIL疗法GC203,在10余种不同类型晚期实体肿瘤中均展现优异临床疗效(包括多线治疗失败的胰腺癌与高级别脑胶质瘤),多例患者肿瘤被完全清除,且维持无瘤生存最久已超4年。
