挑战“癌中之王”,TIL 疗法守护生命“胰”线希望
今天(11月20日)是世界胰腺癌日,“癌中之王”胰腺癌以高侵袭、高转移、高复发著称,全球发病率持续上升。2022年全球新发病例51万(中国12万),死亡46.7万(中国11万),死亡率居肿瘤第六,患者5年生存率仅13%。
传统手术、化疗、放疗、介入等疗法因胰腺癌复杂微环境与免疫逃逸等因素影响,疗效极为有限,且相关副作用会加重患者身心痛苦。肿瘤浸润淋巴细胞(TIL)疗法是近年来肿瘤治疗领域的一大突破。作为一种新型的细胞免疫疗法,TIL疗法通过利用患者自身的免疫细胞来攻击自身的肿瘤细胞,具有高特异性、高安全性且疗效持久等优点。随着研究的深入和技术的不断进步,TIL疗法在实体瘤治疗中的应用逐渐扩大,显示出良好的疗效和前景。
全球临床证据落地
TIL疗法在胰腺癌治疗中的应用,尽管还处于临床试验阶段,但已展现出巨大的治疗潜力。
国际临床
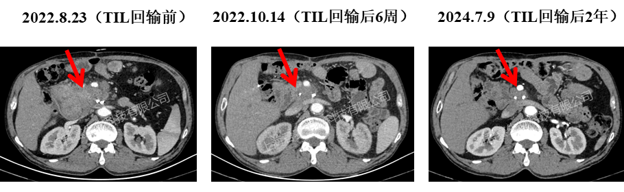
国内突破:

TIL疗法是精准和全面的癌症免疫疗法,其技术突破主要体现在以下四个核心维度:

在传统TIL的优势基础上,君赛生物自主研发的TIL疗法实现关键技术突破,构建了多维度的核心竞争力:
01
无需清淋级化疗预处理
省去传统TIL疗法前的高强度化疗清淋预处理步骤,从而降低了化疗引起的严重骨髓抑制,包括血小板减少、中性粒细胞减少和贫血。
02
无需高剂量注射IL-2
由于大剂量IL-2使用 ,会导致严重的副作用:1)心肺相关并发症:心律失常、呼吸窘迫、低血压、毛细血管渗漏综合征;2)急性肾损伤;3)肝脏并发症等。GC101在治疗中无需使用IL-2,所以从源头规避了高剂量IL-2带来的相关不良反应,显著提升患者治疗耐受性与生活质量。
03
兼顾长期疗效与安全性
临床中已证实可实现肿瘤显著缩小、仅一次用药即可长期有效,同时凭借温和的治疗方案,让更多身体状况较差的晚期患者能够耐受并从中获益。
04
临床成本与治疗费用更低
通过优化细胞培养工艺、简化治疗流程,在保证疗效的同时降低临床操作成本,进而减轻治疗费用负担,惠及更多患者。
君赛生物将持续推进TIL疗法的临床转化与技术迭代,怀揣“以科技创奇迹,使奇迹变平常”的愿景,用领先的细胞治疗手段打破实体肿瘤患者的生存困境。未来,这一创新疗法有望重塑胰腺癌治疗格局,点燃“癌中之王”患者的生命希望。
声明:本文内容仅作为信息分享和观点展示,旨在传递前沿专业信息和满足医疗专业人士的信息需求,无意向您做任何产品的推广或治疗方案推荐。
本文所涉GC101处于临床试验阶段,尚未获批上市。任何关于疾病的诊断和治疗等医疗行为,请遵从医疗卫生专业人士的指导。
