解放军总医院官微发布患者招募:晚期实体瘤TIL疗法
近日,解放军总医院官方微信公众号发布了一项“自体天然肿瘤浸润淋巴细胞注射液(GC101 TIL)治疗晚期恶性实体瘤患者的开放、单臂、Ⅰ期临床试验”的患者招募通知。该疗法由君赛生物依托自主创新技术平台研发,为全球首个经过临床验证,无需高强度清淋化疗、无需IL-2给药的天然TIL细胞药物。
此次登上解放军总医院官微推荐表明,GC101在临床试验中的产品疗效及安全性得到研究者的认可。以下为患者招募全文:
肿瘤浸润淋巴细胞(Tumor Infiltrating Lymphocytes,TIL)疗法从患者自身的新鲜肿瘤组织中分离与富集肿瘤杀伤性细胞,经体外功能修复与规模扩增,通过静脉回输到患者体内发挥抗肿瘤效果。目前已在多种类型晚期实体瘤上展现高比例、长持久性的客观缓解疗效。2024年2月16日,全球首款TIL疗法AMTAGVI(lifileucel)经FDA加速获批上市,用于治疗晚期黑色素瘤,这也是全球首款针对实体瘤的T细胞治疗药物。TIL疗法在PD-1耐药后的多个瘤肿上表现出优越的疗效,例如复发或难治性黑色素瘤(ORR:31.4%)、宫颈癌(ORR:44%)、非小细胞肺癌(ORR:21.6%)、头颈部鳞癌(ORR:38.9%)的探索性研究中均初步展现疗效,TIL表现出比PD-1更广谱的免疫抗肿瘤潜力,是最具潜力的实体瘤疗法之一。
解放军总医院第一医学中心肿瘤内科徐建明教授团队正在进行一项“自体天然肿瘤浸润淋巴细胞注射液(GC101 TIL)治疗晚期恶性实体瘤患者的开放、单臂、Ⅰ期临床试验”。该疗法是由上海君赛生物科技有限公司依托自主开发的细胞培养技术研发,是全球首个经过临 床验证,无需高强度清淋化疗、无需IL-2给药的天然TIL细胞药物,大幅提高安全性,降低治疗费用。此研究已经获得中国国家药品监督管理局的临床批件(批件号:2022LP00718),并经过我院伦理委员会批准,在我院开展临床研究,现面向社会招募受试者。
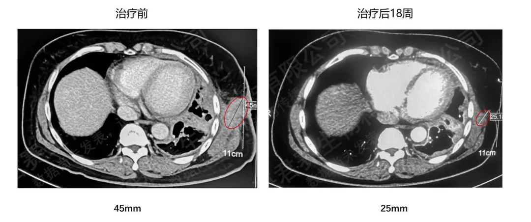
案例分享
一位晚期肺腺癌合并淋巴结、胸壁、胸膜及骨转移的患者,既往已行放疗及靶向治疗,疾病进展后接受GC101 TIL治疗,18周后复查CT示左侧胸壁病灶明显缩小。

患者治疗前后CT对比图
主要招募条件
(1)纳入标准:
1.年龄≥18岁,且≤75岁,男女不限;
2.经标准治疗失败(疾病进展或复发)或缺乏有效治疗方法的不可切除的黑色素瘤、肺癌、头颈部鳞癌、食管鳞癌、宫颈癌或子宫内膜癌;
3.至少存在2个或以上的肿瘤病灶。
(2)排除标准:
1.取样前30天内参加其它药物或生物治疗临床试验、或接受过同类细胞治疗;
2. 合并2种或2种以上恶性肿瘤,除外:已根治的恶性肿瘤,在入选研究之前≥5年无活动性并且复发的风险极低;经充分治疗且无疾病复发证据的非黑色素瘤皮肤癌或恶性雀斑样痣;经充分治疗且无疾病复发证据的原位癌;
3. 签署知情同意书后或计划在研究期间接受减毒活疫苗接种;
4. 其他经医生评估不适合入组的情况。
患者权益保障
如果您参加此项研究,研究期间的相关检查检验和试验药物费用将由申办方承担。
联系方式
专家门诊:徐建明 主任 (门诊时间:周一上午、周四上午) 赵传华 副主任 (门诊时间:周四上午、周五全天)
联系方式:刘医生(研究医生): 010-66937876 付老师(临床协调员):15210009871
门诊地点: 解放军总医院第一医学中心门诊大楼6层肿瘤内科
了解临床试验详情,请联系:张老师(君赛生物):18019732895 程老师(君赛生物):18001759113
临床邮箱(君赛生物):clinicaltrials@juncell.com
本文转自:解放军总医院医疗健康服务